Email Alert | RSS    帮助

中国防痨杂志 ›› 2026, Vol. 48 ›› Issue (1): 131-138.doi: 10.19982/j.issn.1000-6621.20250310

• 论著 • 上一篇    下一篇

水蛭素通过调节Nrf2/HO-1信号通路改善小鼠结核性胸膜纤维化的研究

余洲1,2, 陈丽娜2,3, 杨荣静1,2, 尚旋1,2, 肖国素1,2, 张先明1, 黄妮雯1()   

  1. 1贵州医科大学附属医院呼吸与危重症医学科,贵阳550001
    2贵州医科大学临床医学院,贵阳550004
    3贵阳市公共卫生救治中心结核一科,贵阳550000
  • 收稿日期:2025-07-31 出版日期:2026-01-10 发布日期:2025-12-31
  • 通信作者: 黄妮雯,Email:huangniwen@163.com
  • 基金资助:
    贵州省科技厅基础研究计划项目(黔科合基础-ZK[2022]一般423);国家自然科学基金贵州医科大学附属医院区域基金培养计划项目(gyfynsfc-2022-31)

Hirudin ameliorates tuberculous pleural fibrosis in mice by regulating the Nrf2/HO-1 signaling pathway

Yu Zhou1,2, Chen Lina2,3, Yang Rongjing1,2, Shang Xuan1,2, Xiao Guosu1,2, Zhang Xianming1, Huang Niwen1()   

  1. 1Department of Respiratory and Critical Care Medicine, Affiliated Hospital of Guizhou Medical University, Guiyang 550001, China
    2School of Clinical Medicine, Guizhou Medical University, Guiyang 550004, China
    3The First Department of Tuberculosis, Guiyang Public Health Treatment Center, Guiyang 550000, China
  • Received:2025-07-31 Online:2026-01-10 Published:2025-12-31
  • Contact: Huang Niwen, Email: huangniwen@163.com
  • Supported by:
    Basic Research Program of Science and Technology Department of Guizhou Province(Qiankehe ZK[2022]General 423);Regional Fund Cultivation Program of the National Natural Science Foundation of China in Affiliated Hospital of Guizhou Medical University(gyfynsfc-2022-31)

摘要:

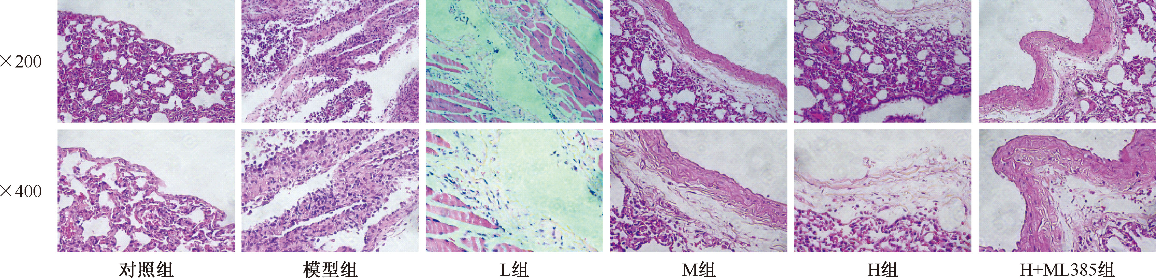
目的: 探讨水蛭素通过调控核因子E2相关因子2(Nrf2)/血红素加氧酶-1(HO-1)信号通路对小鼠结核性胸膜纤维化的影响。方法: 60只体质量在20~25g的C57雄性小鼠随机分为对照组、模型组、低剂量水蛭素组(L组)、中剂量水蛭素组(M组)、高剂量水蛭素组(H组)、高剂量水蛭素+ML385(Nrf2转录抑制剂)组(H+ML385组)。除对照组外,其余各组均注射卡介苗(BCG)的悬液造模。28d后观察各组小鼠胸腔积液的分布情况,收集、记录胸腔积液量;并观察胸膜粘连情况,采用胸腔积液中纤维蛋白原(FBG)水平和胸腔粘连带数量评分评估小鼠胸腔积液粘连性,测量胸膜厚度,通过苏木精-伊红(HE)染色观察各组小鼠胸膜组织病理学改变情况,采用Western blot法检测各组小鼠胸膜组织中Nrf2和HO-1蛋白表达,采用酶联免疫吸附试验法检测各组小鼠胸膜组织中基质金属蛋白酶(MMP-1、MMP-9)、基质金属蛋白酶抑制剂-1(TIMP-1)、丙二醛(MDA)、超氧化物歧化酶(SOD)、谷胱甘肽(GSH)的含量。结果: 28d后,H组胸腔积液量为(666.00±87.62)μl,胸膜厚度为(16.50±1.17)μm,胸腔粘连带评分为(2.60±0.51)分,FBG为(0.30±0.07)g/L,MDA为(74.51±6.53)mmol/mg,MMP-1为(14.08±0.85)μg/L,MMP-9为(4.84±0.38)μg/L,TIMP-1为(2.63±0.13)μg/L,均明显低于模型组[分别为(1144.00±15.00)μl、(21.11±2.98)μm、(3.90±0.31)分、(0.48±0.07)g/L、(102.70±14.06)mmol/mg、(18.54±1.20)μg/L、(7.65±1.02)μg/L、(3.62±0.36)μg/L];SOD及GSH分别为(134.00±8.07)U/mg和(350.80±15.73)nmol/g,均明显高于模型组的(90.79±4.68)U/mg和(247.30±22.28)nmol/g,差异均有统计学意义(t=8.48, P<0.001;t=4.54, P<0.001;t=6.79, P<0.001;t=5.53, P<0.001;t=5.73, P<0.001;t=9.57, P<0.001;t=8.16, P<0.001;t=8.10, P<0.001;t=14.64, P<0.001;t=12.00, P<0.001)。HE染色显示,与模型组相比,水蛭素干预组(特别是高剂量组)小鼠的胸膜纤维化病理改变明显减轻。Western blot结果显示,H组Nrf2蛋白表达为0.83±0.07,明显高于模型组的0.57±0.06,也明显高于H+ML385组的0.67±0.50,差异均有统计学意义(t=8.36,P<0.001;t=4.09,P=0.017);H组HO-1蛋白表达为0.72±0.03,明显高于模型组的0.31±0.02,差异有统计学意义(t=8.36,P<0.001)。结论: 水蛭素可以通过调节Nrf2/HO-1信号通路来抑制氧化应激,从而改善结核性胸膜纤维化。

关键词: 水蛭素类, 结核, 胸膜, 纤维化, 小鼠

Abstract:

Objective: To investigate the effect of hirudin on tuberculous pleural fibrosis in mice by regulating the nuclear factor erythroid 2-related factor 2 (Nrf2)/heme oxygenase-1 (HO-1) signaling pathway. Methods: Sixty male C57 mice weighing 20-25 g were randomly divided into the following groups: control group, model group, low-dose hirudin group (L group), medium-dose hirudin group (M group), high-dose hirudin group (H group), and high-dose hirudin+ML385 (an Nrf2 transcription inhibitor) group (H+ML385 group). Except for the control group, all other groups were established as models by injection of a bacillus Calmette-Guérin (BCG) suspension. After 28 days, the distribution of pleural effusion was observed in each group, and the volume of pleural effusion was collected and recorded. Pleural adhesion was observed; the adhesiveness of pleural effusion was assessed using fibrinogen (FBG) levels and the score of pleural adhesive bands number. Pleural thickness was measured. Histopathological changes of pleural tissues were observed by hematoxylin-eosin (HE) staining. The protein expressions of Nrf2 and HO-1 in pleural tissues were detected by western blot. The contents of matrix metalloproteinases (MMP-1, MMP-9), tissue inhibitor of metalloproteinase-1 (TIMP-1), malondialdehyde (MDA), superoxide dismutase (SOD), and glutathione (GSH) in pleural tissues were measured by enzyme-linked immunosorbent assay (ELISA). Results: After 28 days, the H group showed significantly lower values compared to the model group in the following parameters: pleural effusion volume ((666.00±87.62) μl vs. (1144.00±15.00) μl), pleural thickness ((16.50±1.17) μm vs. (21.11±2.98) μm), pleural adhesion band score (2.60±0.51 vs. 3.90±0.31), FBG ((0.30±0.07) g/L vs. (0.48±0.07) g/L), MDA ((74.51±6.53) mmol/mg vs. (102.70±14.06) mmol/mg), MMP-1 ((14.08±0.85) μg/L vs. (18.54±1.20) μg/L), MMP-9 ((4.84±0.38) μg/L vs. (7.65±1.02) μg/L), and TIMP-1 ((2.63±0.13) μg/L vs. (3.62±0.36) μg/L). Conversely, SOD ((134.00±8.07) U/mg vs. (90.79±4.68) U/mg) and GSH ((350.80±15.73) nmol/g vs. (247.30±22.28) nmol/g) levels were significantly higher in the H group than those in the model group. All these differences were statistically significant (t=8.48, P<0.001; t=4.54, P<0.001; t=6.79, P<0.001; t=5.53, P<0.001; t=5.73, P<0.001; t=9.57, P<0.001; t=8.16, P<0.001; t=8.10, P<0.001; t=14.64, P<0.001; t=12.00, P<0.001, respectively). HE staining revealed that hirudin intervention groups (especially in the high-dose group) markedly alleviated pathological fibrotic changes in the pleura compared with the model group. Western blot results indicated that Nrf2 protein expression in the H group (0.83±0.07) was significantly higher than that in the model group (0.57±0.06) and also significantly higher than that in the H+ML385 group (0.67±0.50) (t=8.36, P<0.001; t=4.09, P=0.017, respectively). HO-1 protein expression in the H group (0.72±0.03) was significantly higher than that in the model group (0.31±0.02), with a statistically significant difference (t=8.36, P<0.001). Conclusion: hirudin can ameliorate tuberculous pleural fibrosis by inhibiting oxidative stress through the regulation of the Nrf2/HO-1 signaling pathway.

Key words: Hirudins, Tuberculosis, Pleura, Fibrosis, Mice

中图分类号: