Email Alert | RSS    帮助

中国防痨杂志 ›› 2024, Vol. 46 ›› Issue (7): 763-769.doi: 10.19982/j.issn.1000-6621.20240147

• 论著 • 上一篇    下一篇

亚洲分枝杆菌肺病一例并文献复习

何湘容, 陈华(), 陈品儒, 梁锋, 任会丽, 朱家楼, 胡锦兴, 谭耀驹   

  1. 广州市胸科医院结核科/非结核分枝杆菌病诊疗中心,广州市结核病研究重点实验室,呼吸疾病全国重点实验室,广州 510095
  • 收稿日期:2024-04-16 出版日期:2024-07-10 发布日期:2024-07-01
  • 通信作者: 陈华 E-mail:chenhua1805@163.com
  • 基金资助:
    广州市科技计划项目(2023A03J0991)

A case report and literature review of Mycobacterium asiaticum pulmonary disease

He Xiangrong, Chen Hua(), Chen Pinru, Liang Feng, Ren Huili, Zhu Jialou, Hu Jinxing, Tan Yaoju   

  1. Department of Tuberculosis, Guangzhou Chest Hospital/Diagnosis and Treatment Center of Non-Tuberculosis Mycobacteria Diseases, Guangzhou Key Laboratory of Tuberculosis Research, State Key Laboratory of Respiratory Disease, Guangzhou 510095, China
  • Received:2024-04-16 Online:2024-07-10 Published:2024-07-01
  • Contact: Chen Hua E-mail:chenhua1805@163.com
  • Supported by:
    Project of Guangzhou Science and Technology Plan(2023A03J0991)

摘要:

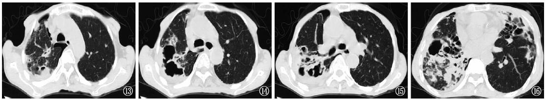
目的: 报道1例亚洲分枝杆菌肺病患者临床诊治过程,并结合文献分析该病临床特征、影像特点及预后。方法: 以1971年1月至2019年9月为检索时间,分别从PubMed数据库中以“Mycobacterium asiaticum”为检索词检索到27篇相关文献,其中仅有7例为亚洲分枝杆菌肺病患者报道;而以“亚洲分枝杆菌,肺病”为检索词在万方数据库和中国知网数据库中均未检索到相关文献。总结本例患者特征并进行入选患者文献复习。结果: 本例亚洲分枝杆菌肺病患者为中老年女性,且合并结构性肺病,以咳嗽、咳痰为主诉,以支气管扩张、空洞为主要影像表现,痰液及肺泡灌洗液抗酸杆菌涂片及快速分枝杆菌培养均为阳性,DNA微阵列芯片法菌种鉴定均为结核分枝杆菌复合群,药物敏感性试验(液体法)提示对利福平、异烟肼、左氧氟沙星、贝达喹啉均耐药,血γ-干扰素释放试验、痰液及肺泡灌洗液TB-RNA和TB-DNA、探针熔解曲线法检测结核分枝杆菌对利福平和异烟肼耐药均为阴性,经肺泡灌洗液多种病原体靶向测序(tNGS)提示为亚洲分枝杆菌而临床确诊。抗非结核分枝杆菌药物治疗8个月后,患者呼吸道症状缓解、病灶好转,痰液及肺泡灌洗液分枝杆菌培养阴转,治疗有效。另7例报道患者中,合并结构性肺病4例,合并肿瘤1例(未启动治疗),5例肺部病灶以结节和空洞形成为主;治疗方案存在差异,其中3例接受1年以上治疗后实现临床治愈,2例临床症状及影像学有好转(包括1例实现细菌学阴转),1例复发。结论: 亚洲分枝杆菌肺病相关报道较少,临床表现不典型,易误诊,对抗酸杆菌涂片及分枝杆菌培养阳性且菌种鉴定提示为结核分枝杆菌复合群但TB-RNA和TB-DNA阴性的患者,应注意排除非结核分枝杆菌肺病,tNGS检测有助于临床诊断,值得临床医生重视。

关键词: 分枝杆菌,结核, 分枝杆菌,非典型性, 综述文献(主题), 误诊

Abstract:

Objective: To report the clinical diagnosis and treatment of a patient with Mycobacterium asiaticum pulmonary disease, and to analyze the clinical features, imaging characteristics, and prognosis of the disease in conjunction with a review of the literature. Methods: From January 1971 to September 2019, we searched, 27 relevant literatures were retrieved from PubMed database with “Mycobacterium asiaticum” as the searching term, of which only 7 cases were Mycobacterium asiaticum pulmonary disease cases. “Mycobacterium asiaticum, pulmonary disease” as the search term, no relevant literature was found in both Wanfang database and CNKI database. We summarized the characteristics of our patient and reviewed the literature of the selected cases. Results: Our patient with Mycobacterium asiaticum pulmonary disease was a middle-aged woman with structural pulmonary disease, with cough and sputum as the main complaints, bronchial dilatation and cavitation as the main image manifestations. Sputum and bronchoalveolar lavage fluid were positive for acid-fast staining and mycobacterial culture. DNA microarray chip method identified all as Mycobacterium tuberculosis complex, and they were resistant to rifampicin, isoniazid, levofloxacin, and bedaquiline. However, negative IGRA, and negative sputum/bronchoalveolar lavage fluid (BALF) TB-RNA and TB-DNA, and negative Mycobacterium tuberculosis molecular drug resistance detection (INH, RFP; probe melting curve method). BALF tNGS results suggested a clinical diagnosis of Mycobacterium asiaticum pulmonary disease. After treatment with anti-non-tuberculous mycobacterium drugs, the patient’s respiratory symptoms were relieved after 8 months of treatment, the lesion improved, and mycobacterial culture of sputum and BALF turned negative, indicating effective treatment. In the other 7 cases, there were 4 cases complicated with structural lung disease and 1 case complicated with tumor (no treatment was started). The lung lesions were mainly nodules and cavities formed, and there were differences in treatment plans. Finally, 3 cases achieved clinical cure after more than 1 year of treatment, 2 cases showed improvement in clinical symptoms and imaging (including 1 case achieved bacteriological negative conversion), and 1 case relapsed. Conclusion: Reports on Mycobacterium asiaticum pulmonary disease are scarce, and the clinical manifestations are atypical and easily misdiagnosed. In patients with positive acid-fast staining and mycobacterial culture and mycobacterial identification suggestive of the Mycobacterium tuberculosis complex but negative for TB-RNA and TB-DNA, it is important to consider non-tuberculous mycobacterial pulmonary disease. The tNGS test aids in clinical diagnosis and should be emphasized by clinicians.

Key words: Mycobacterium tuberculosis, Mycobacterium, atypical, Review literature as topic, Misdiagnose

中图分类号: