Email Alert | RSS    帮助

中国防痨杂志 ›› 2025, Vol. 47 ›› Issue (11): 1489-1494.doi: 10.19982/j.issn.1000-6621.20250207

• 论著 • 上一篇    下一篇

磁共振三维颅脑容积成像增强扫描在颅内结核影像诊断中的应用

宁锋钢, 房坤, 王珏, 吕岩, 贺伟, 侯代伦()   

  1. 首都医科大学附属北京胸科医院医学影像科,北京 101149
  • 收稿日期:2025-05-20 出版日期:2025-11-10 发布日期:2025-10-30
  • 通信作者: 侯代伦 E-mail:hodelen@126.com
  • 基金资助:
    国家自然科学基金(82271962);首都卫生发展科研专项(2024-2-2162);北京市卫生健康委员会公共卫生技术人才建设项目(Discipline Leader-03-07)

Application of magnetic resonance 3D BRAVO enhanced scanning in the imaging diagnosis of intracranial tuberculosis

Ning Fenggang, Fang Kun, Wang Jue, Lyu Yan, He Wei, Hou Dailun()   

  1. Department of Medical Imaging, Beijing Chest Hospital, Capital Medical University, Beijing 101149, China
  • Received:2025-05-20 Online:2025-11-10 Published:2025-10-30
  • Contact: Hou Dailun E-mail:hodelen@126.com
  • Supported by:
    National Natural Science Foundation(82271962);Capital Health Development Research Special Project(2024-2-2162);Beijing Municipal Health Commission Public Health Technology Talent Construction Project(Discipline Leader-03-07)

摘要:

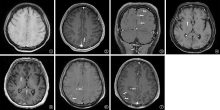
目的: 探讨磁共振三维颅脑容积成像(three-dimension brain volume imaging,3D BRAVO)增强扫描在颅内结核影像诊断中的价值。方法: 收集2021年4月至2024年8月首都医科大学附属北京胸科医院临床确诊及资料完整的122例颅内结核患者作为研究对象。所有患者均进行了结核病相关实验室检查(包括脑脊液检测)、头颅磁共振平扫及增强扫描检查,以及磁共振3D BRAVO增强扫描检查。分析研究对象头颅磁共振常规增强扫描及3D BRAVO增强扫描的影像学特点,并评价磁共振3D BRAVO增强扫描在颅内结核影像诊断中的价值。结果: 患者临床表现存在结核中毒症状和呼吸系统症状(如咳嗽、咳痰、胸痛等)者32例(26.2%,32/122);出现发热、头痛者81例(66.4%,81/122);具有神经系统症状和体征者73例(59.8%,73/122),其中,脑脊液实验室检查常规和生化异常者113例(92.6%,113/122)。所有患者均行腰椎穿刺术检查,颅内压高于180mmH2O(1mmH2O=0.0098kPa)者57例(46.7%,57/122)。122例患者头颅常规磁共振增强扫描:30例(24.6%,30/122)显示为脑膜型,40例(32.8%,40/122)显示为脑实质型,29例(23.8%,29/122)显示为混合型(脑膜及脑实质病变并存),23例(18.9%,23/122)未见颅内结核病变;磁共振3D BRAVO增强扫描:43例(35.2%,43/122)显示为脑膜型,22例(18.0%,22/122)显示为脑实质型,45例(36.9%,45/122)为混合型,12例(9.8%,12/122)未见颅内结核病变。磁共振3D BRAVO增强扫描对颅内结核患者病灶检出率明显高于头颅磁共振常规增强扫描,差异有统计学意义(χ2=9.091,P=0.001);对脑膜结核的检出率明显高于头颅磁共振常规增强扫描,差异有统计学意义(χ2=27.034,P<0.001)。磁共振3D BRAVO增强扫描122例患者中,9例并发脑积水、29例并发脑梗死、10例并发脑神经病变。结论: 磁共振3D BRAVO增强扫描对颅内结核的分型和早期发现具有重要辅助诊断价值。

关键词: 结核, 脑膜, 磁共振成像, 成像, 三维, 诊断, 鉴别, 对比研究

Abstract:

Objective: To investigate the value of three-dimensional brain volume imaging (3D BRAVO) contrast-enhanced magnetic resonance imaging (MRI) in the imaging diagnosis of intracranial tuberculosis. Methods: A total of 122 patients with intracranial tuberculosis who were clinically diagnosed and had complete data at Beijing Chest Hospital affiliated to Capital Medical University from April 2021 to August 2024 were collected as the research subjects. All patients underwent tuberculosis related laboratory tests (including cerebrospinal fluid testing), cranial MRI plain and enhanced scans, and 3D BRAVO enhanced MRI scans. The imaging characteristics of the study subjects’ skull magnetic resonance conventional enhanced scan and 3D BRAVO enhanced scan were analyzed, and the value of magnetic resonance 3D BRAVO enhanced scan in the imaging diagnosis of intracranial tuberculosis was evaluated. Results: Thirty-two cases (26.2%, 32/122) had clinical manifestations of tuberculosis poisoning and respiratory symptoms (such as cough, sputum, chest pain, etc.); 81 cases (66.4%, 81/122) experienced fever and headache; 73 cases (59.8%, 73/122) had neurological symptoms and signs, among which 113 cases (92.6%, 113/122) had routine and biochemical abnormalities in cerebrospinal fluid laboratory tests. All patients underwent lumbar puncture examination, and 57 cases (46.7%, 57/122) had intracranial pressure higher than 180 mmH2O (1 mmH2O=0.0098 kPa). All patients underwent routine magnetic resonance enhanced scans of their heads: 30 cases (24.6%, 30/122) showed meningeal type; 40 cases (32.8%, 40/122) showed parenchymal type, 29 cases (23.8%, 29/122) showed mixed type (meningeal and parenchymal lesions coexisted), 23 cases (18.9%, 23/122) showed no intracranial tuberculosis; Magnetic resonance 3D BRAVO enhanced scan: 43 cases (35.2%, 43/122) showed meningeal type; 22 cases (18.0%, 22/122) showed cerebral parenchyma type, 45 cases (36.9%, 45/122) showed mixed type, and 12 cases (9.8%, 12/122) showed no intracranial tuberculosis. The detection rate of lesions in intracranial tuberculosis patients by 3D BRAVO enhanced magnetic resonance imaging was significantly higher than that by conventional enhanced head magnetic resonance imaging, and the difference was statistically significant (χ2=9.091, P=0.001); The detection rate of meningeal tuberculosis was significantly higher than that of routine enhanced head magnetic resonance imaging, and the difference was statistically significant (χ2=27.034, P<0.001). Among 122 patients who underwent 3D BRAVO enhanced magnetic resonance imaging, 9 had concurrent hydrocephalus and 29 had concurrent cerebral infarction; 10 cases of concurrent cerebral neuropathy. Conclusion: Magnetic resonance 3D BRAVO enhanced scanning has important auxiliary diagnostic value for the classification and early detection of intracranial tuberculosis.

Key words: Tuberculosis, meningeal, Magnetic resonance imaging, Imaging, three-dimensional, Diagnosis, differential, Comparative study

中图分类号: