Email Alert | RSS    帮助

中国防痨杂志 ›› 2025, Vol. 47 ›› Issue (10): 1261-1267.doi: 10.19982/j.issn.1000-6621.20250180

• 论著 • 上一篇    下一篇

玻璃化冻存新技术处理肺癌手术标本用于构建类器官的探索

黄予晴1, 孙祖钰1, 刘毅2, 张晨1, 周立娟1, 赵宏1(), 车南颖1()   

  1. 1首都医科大学附属北京胸科医院病理科/北京市结核病胸部肿瘤研究所,北京 101149
    2首都医科大学附属北京胸科医院生物样本与数据资源库/北京市结核病胸部肿瘤研究所,北京 101149
  • 收稿日期:2025-05-06 出版日期:2025-10-10 发布日期:2025-09-29
  • 通信作者: 赵宏,Email:zhaohong@bjxkyy.cn;车南颖,Email:cheny0448@163.com
  • 基金资助:
    北京市属医学科研院所公益发展改革试点项目(JYY2023-15);首都医科大学附属北京胸科医院能力跃升专项(NLYS2025-12);北京市医院管理中心“登峰”人才培养计划(DFL20241601)

Feasibility of new vitrification cryopreservation technology for construction lung cancer organoid from surgical specimens

Huang Yuqing1, Sun Zuyu1, Liu Yi2, Zhang Chen1, Zhou Lijuan1, Zhao Hong1(), Che Nanying1()   

  1. 1Department of Pathology, Beijing Chest Hospital, Capital Medical University/Beijing Tuberculosis and Thoracic Tumor Research Institute, Beijing 101149, China
    2Biobank of Beijing Chest Hospital, Capital Medical University/Beijing Tuberculosis and Thoracic Tumor Research Institute, Beijing 101149, China
  • Received:2025-05-06 Online:2025-10-10 Published:2025-09-29
  • Contact: Zhao Hong, Email: zhaohong@bjxkyy.cn; Che Nanying, Email:cheny0448@163.com
  • Supported by:
    Beijing Municipal Public Welfare Development and Reform Pilot Project for Medical Research(JYY2023-15);Capability Enhancement Project of Beijing Chest Hospital(NLYS2025-12);Dengfeng Talents Project of Beijing Hospitals Authority(DFL20241601)

摘要:

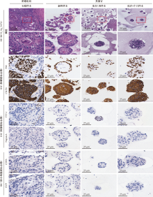
目的: 探索利用玻璃化冻存新技术保存肺癌手术标本,复苏后用于类器官构建的可行性。方法: 选择2024年7—8月在首都医科大学附属北京胸科医院确诊的12例肺癌患者手术切除的肿瘤组织作为研究对象。肿瘤组织由病理医师取材后立即置于组织保存液中,4℃条件下保存运输,2h内完成样本处理。每例样本均分为3份,每份大小约为0.5cm3。一份直接用于类器官构建,另外两份采用玻璃化冻存技术保存于气相液氮罐中,分别于冻存1周及4个月后复苏并构建类器官。结果: 12份新鲜肺癌组织均成功构建类器官;冻存1周及4个月的样本复苏后分别有9例和6例成功构建类器官,成功率分别为75.0%(9/12)和50.0%(6/12),类器官形态及肿瘤标志物表达与新鲜样本来源的类器官基本一致;冻存4个月的样本复苏后,细胞活性低于55%的样本均未能成功构建类器官。结论: 小样本探索性研究提示,尽管长期玻璃化冻存对细胞活性存在一定影响,但经其处理的肺癌手术标本可基本满足类器官的构建需求。

关键词: 肺肿瘤, 冷冻, 标本制备, 类器官

Abstract:

Objective: To explore the feasibility of employing vitrification cryopreservation, an advanced cryopreservation technique, for preserving surgically resected lung cancer tissues to facilitate subsequent organoid generation. Methods: We prospectively collected tumor specimens from 12 patients with histologically confirmed lung cancer at Beijing Chest Hospital, Capital Medical University from July to August 2024. Following standardized pathological procedures, the tissues were immediately immersed in preservation medium, maintained at 4 ℃ during transportation, and processed within 2 hours. Each specimen was systematically divided into three aliquots of approximately 0.5 cm3. One was processed fresh for organoid culture (serving as the control), while the remaining two were subjected to vitrification cryopreservation and stored in a vapor-phase liquid nitrogen tank. The cryopreserved samples were subsequently thawed at two time points (1 week and 4 months) for comparative assessment of organoid culture. Results: All fresh specimens (100.0%, 12/12) successfully generated organoids. Vitrified samples showed success rates of 75.0% (9/12) and 50.0% (6/12) at 1-week and 4-month time points, respectively. Crucially, cryopreserved-derived organoids maintained morphological characteristics and tumor marker expression profiles comparable to those of the fresh controls. Notably, all specimens with post-thaw viability <55% after 4 months of storage failed to organoid generation. Conclusion: This small-scale study indicates that although long-term vitrification cryopreservation exerts certain detrimental effects on cell viability, the processed surgical specimens can still meet the requirements for organoid construction.

Key words: Lung neoplasms, Freezing, Specimen handling, Organoids

中图分类号: