含西他沙星的新的抗结核方案治疗准广泛耐药肺结核一例 |
| 张帆, 陈晓红, 初乃惠, 聂文娟 |
|
|
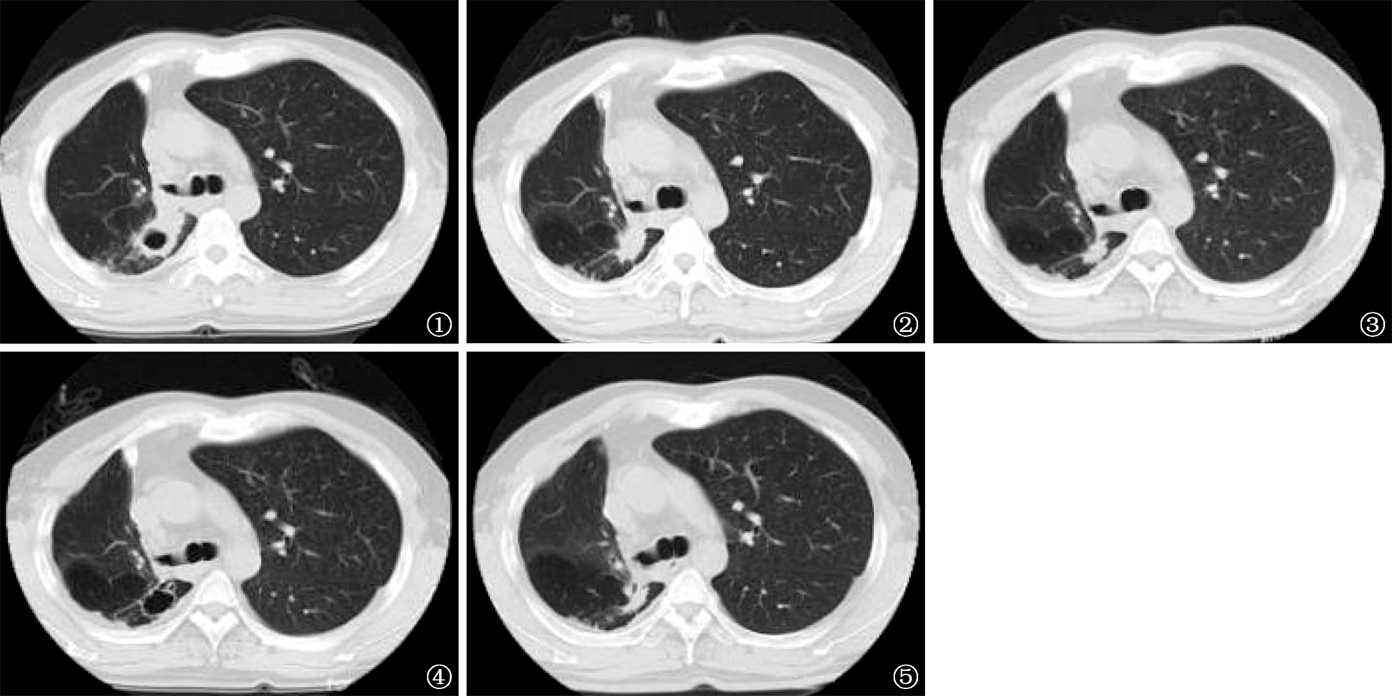
| 图1~5 患者,男性,准广泛耐药肺结核。图1为治疗前患者胸部CT检查图像,可见右肺空洞影(2022年4月)。图2为治疗3个月后胸部CT复查图像,可见右肺病变空洞较前明显缩小,部分空洞闭合(2022年8月)。图3为治疗12个月后胸部CT复查图像,可见右肺病变空洞进一步缩小(2023年5月)。图5为治疗19个月后胸部CT复查图像,可见右肺病变遗留小的薄壁空洞,基本为净化空洞(2023年12月)。图5为治疗24个月后胸部CT复查图像,可见右肺病变空洞基本闭合(2024年6月) |
|