起源于胃左动脉的异位支气管动脉参与咯血的介入栓塞治疗一例
尹曲华, 周毅, 邓海兵, 凌杰, 雷胜, 姚其能
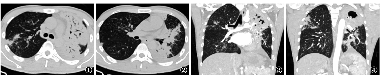
图1~4
患者,男,32岁,主诉“咳嗽、咳痰3个月,咯血3d”。
图1
、2为胸部CT横断面扫描,显示左肺大片实变影,其内可见支气管充气征象、支气管扩张及空洞,右上叶后段胸膜下可见斑片影,双肺各叶多发腺泡结点样播散灶。左侧胸腔见少许积液。
图3
、4为胸部CT冠状位重建,显示左肺大片实变影,其内可见支气管充气征象、支气管扩张及空洞,右上叶后段胸膜下可见斑片影,双肺各叶多发腺泡结点样播散灶