六例布鲁氏菌性脊柱炎误诊为腰椎结核临床分析 |
| 刘鑫, 郭乐, 李军孝, 陈其亮, 仵倩红 |
|
Clinical analysis of six cases of Brucella spondylitis misdiagnosed as lumbar tuberculosis |
| LIU Xin, GUO Le, LI Jun-xiao, CHEN Qi-liang, WU Qian-hong |
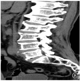
| 图8 病例6,男性,81岁。患者于2021年6月3日在陕西省结核病防治院摄腰椎CT(矢状面),显示腰1~骶1椎体前缘骨质增生变尖,腰5椎体前缘骨质轻度破坏,椎前可见低密度软组织影 |
|