六例布鲁氏菌性脊柱炎误诊为腰椎结核临床分析
刘鑫, 郭乐, 李军孝, 陈其亮, 仵倩红
Clinical analysis of six cases of Brucella spondylitis misdiagnosed as lumbar tuberculosis
LIU Xin, GUO Le, LI Jun-xiao, CHEN Qi-liang, WU Qian-hong
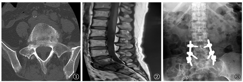
图1~3
病例1,女性,54岁。
图1
为2021年4月8日患者于陕西省结核病防治院拍摄的腰椎CT图像,显示骶1椎体边缘毛糙,局部见破坏征象,周围见软组织肿胀。
图2
为2021年4月9日外院腰椎MRI,显示腰5~骶1椎间隙狭窄,可见斑片状长T
1
、短T
2
信号影,压脂序列呈高信号,增强扫描明显强化,T
2
加权成像显示部分椎间盘信号降低,腰5~骶1椎间盘组织向椎体后方突出,硬膜囊受压,椎管狭窄,黄韧带无明显增厚,脊髓圆锥及终丝和马尾形态信号无异常改变。
图3
为2021年4月16日患者于我院行腰5~骶1后路病灶清除、椎管减压及钉棒内固定术